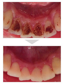
PMTCってなに?
Professional Mechanical Tooth Cleaning の略語で、歯科医師
または歯科衛生士がお口を徹底的にクリーニングすることで
歯を一切削る事無く、専用のパウダーを高圧のスプレーで噴射し、
着色を綺麗にとって本来のご自身の歯の色に
戻すこと(着色落とし)を言います。
また、着色をとるだけでなく、歯の表面を専用の機械を使用して
歯の表面を磨き上げることで、見た目はもちろん、
舌触りもなめらかに仕上がりますし、
特に歯周病の予防に効果的です。
毎日すみずみまで磨いているつもりでも、どうしても歯並び、
歯の複雑な形、人工的補綴物(充填物・冠(クラウン)・ブリッジ・
入れ歯)により、歯ブラシの届きにくい所、
汚れが溜まりやすい所ができてしまいます。
歯科衛生士がこの部分を含め、お口全体の
クリーニングを専門的な機械や器具を使って徹底的に行います。
あなたのお口の健康は、PMTCとセルフケアを両立することで、
維持することができます!
これからは定期的(3~6ヵ月)PMTCとセルフケアを行うことで、
白い歯をムシ歯を、歯周病を維持、予防する時代です。
歯の表面についたミクロの傷を修復し、
プラークや着色のつきにくい健康な歯に。
歯の表面は、毎日のブラッシングなどで傷ついています。
専門スタッフによる歯の「トリートメント・ケア」をご提案しております。
詳しい内容については、お気軽にスタッフまでおたずねください(超音波スケーラー)。
◎PMTCの効果は?
・虫歯予防の効果があります。
・歯周病の改善と予防の効果があります。
・プラーク、バイオフィルム(細菌、多糖体とその副産物の集合体)、
歯石、着色などの汚れが付着しにくくなります。
・フッ素塗布により、歯質強化、滑沢感、光沢感が出ます。
・歯の表面がツルツルして気持ちの良い爽快感があります。
・歯肉の腫れ痛みを抑え、苦痛緩和、歯の延命効果も期待できます。
・ホームケアが楽になります(歯面清掃用ハンドピース)。
